Les caractères d'un individu et le programme génétique
1.1 Rappels
Êtres vivants : Organisme qui se nourrit, grandit, respire et se reproduit
Cellule : constituant de base des êtres vivants. Tous les êtres vivants sont constitués de cellules
Espèce : être vivant partageant des critères communs visibles.
Schéma d'une cellule. Légendée selon les règles du dessin scientifique
1.2/ Caractères innés / caractères acquis.
A partir de l'oeuvre de Ulric Colette (1979 - Aujourd'hui) Portraits génétiques. Trouver les caractéristiques physiques qui permettent d'identifier une personne.
On constate que certains paramètres sont communs entre les différents membres d'une famille, comme la forme du visage et du nez, la position du nez et de la bouche, alors que d'autres sont plus variables tels que la couleur des yeux, les sourcils, les oreilles, … On constate que certains critères peuvent être modifiés comme la couleur et la longueur des cheveux, le bronzage. Les caractères spécifiques d'une personne et transmis à leurs enfants sont des caractères innés. Les caractères qui peuvent être modifiés comme l'intelligence, la culture, les moeurs sont des caractères acquis.
On a vu que certains caractères sont transmis des parents aux enfants, on dit qu'ils sont héréditaires, alors que d'autres, comme le caractère ou le bronzage par exemple, sont uniquement dépendent de l'individu. A partir de la photographie ci-dessous, nous avons essayé de reconstituer des couples et leurs descendances.
Image issue du Campbell et all. biologie.
Les couples images du haut, sont côte à côte, chaque couple a eu 2 enfants, un garçon et une fille. Le but de l'exercice est de retrouver les enfants de chaque couple. Dans un premier temps celà parait compliqué, puis en utilisant différents critères précis, on arrive à reconstituer les familles. Nous avons utilisés les critères suivants :
La forme du visage Le sourire La forme du nez La forme du front La forme des joues.La présence d'un collier n'est pas un bon critère, puisque n'importe qui peut le porter. De la même manière on constate que dans ce cas les cheveux n'apportent aucune information, alors que dans certains cas ce peut être un critère très intéressant (pour les cheveux bouclés, ou les roux par exemple). Dans Harry Potter, les Weasley sont facilement repérables grâce à la couleur de leurs cheveux.
Par conséquent les êtres humains sont tous semblables, car issus de la même espèce (2 bras, 2 jambes, des poumons, etc...) mais aussi tous différents. Nous ne nous sommes pas tous identiques. Bien que nous ne nous ressemblions pas, on constate qu'en utilisant des critères précis, nous sommes capables de retrouver des caractères transmissibles. Les individus sont donc tous différents, sauf les vrais jumeaux qui sont quasiment identiques.
1.3 Localisation de l'information génétique.
On se pose la question de savoir où se trouve localisé l'information génétique. Des scientifiques ont réalisé l'expérience suivante :
On observe que le lapin nouveau né est de la même couleur que le lapin d'où provient le noyau de la cellule oeuf. On sait que l'information génétique est contenu dans les cellules. Donc l'information génétique est contenue dans le noyau. On pourrait vérifier notre conclusion en transférant le noyau de la cellule du lapin marron dans la cellule énucléée (sans noyau) du lapin beige et en l'implantant dans une lapine blanche. Le laperau devrait avoir une couleur marron.
L'information génétique est contenu dans le noyau des cellules. Toutefois on ne connait pas le support de l'information génétique. Nous avons entendus parler des chromosomes. Est-ce que les chromosomes sont le support de l'information génétique? Qu'est-ce qu'un chromosome? Pour répondre à ces questions nous allons observer une coupe fine de vessie de rat. Sur cette préparation on trouve de nombreuses cellules.
On observe que, parmi ces cellules, le noyau d'une cellule est différent des autres. Le noyau est moins homogène, on y observe comme un amas de bâtonnets noir très foncés. Alors que tout les autres noyaux ont une coloration violacée uniforme. Ces bâtonnets noirs sont les chromosomes. Ils sont visibles uniquement dans les cellules en division.
On sait que l'information génétique est contenue dans le noyau des cellules.
Donc les chromosomes sont le support de l'information génétique.
Les chromosomes sont visibles uniquement dans les cellules en division, mais les cellules contiennent toujours des chromosomes. Nous verrons plus tard pourquoi les chromosomes sont visibles uniquement sur les cellules en division.
Si l'information génétique est dans le noyau des cellules et portée par les chromosomes. Que les chromosomes sont formés d'ADN et que les cellules sont à la base de tous les êtres vivants, alors tout les êtres vivants doivent avoir de l'ADN. Pour vérifier cette hypothèse nous allons extraire de l'ADN d'oignon selon le protocole que vous pouvez trouver ici (protocole facile à faire à la maison). Cette expérience permet de démontrer que nous avons pu extraire de l'ADN doignon. On peut réitérer cette expérience avec d'autres fruits, des légumes ou des êtres vivants et nous obtiendrons les mêmes résultats. Attention, la quantité d'ADN varie d'une espèce à l'autre, donc si vous ne voyez rien, évitez de conclure trop vite.
Ci-dessous une photographie du résultat qu'on obtient lorsqu'on a bien travaillé.
Les chromosomes sont le support de l'information génétique. L'information est contenue dans le noyau. Lors de la fécondation il y a fusion entre le spermatozoïde et l'ovule. Donc on reçoit 50% de l'information génétique de notre père et 50% de l'information génétique de notre mère. Nous allons étudier des caryotypes (ensemble des chromosomes d'un être vivant) humains.
On observe que sur les 2 caryotypes les chromosomes sont classés par paire et par ordre décroissant (du plus grand au plus petit). Si on regarde chaque chromosome individuellement on voit qu'ils ont tous des bandes sombres et claires. Ces bandes permettent de reconnaitre les 2 chromosomes d'une paire. On sait que chaque parent fourni 50% de son information génétique à son enfant. Donc il est normal que les chromosomes soit par paire (un du père et un de la mère). Si on compte les chromosomes on compte 23 paires de chromosomes. Le nombre de chromosome est spécifique d'une espèce. Parmi les 23 chromosomes de l'espèce humaine on constate que 22 (numérotés 1 à 22) sont identiques 2 à 2. La 23ème paire est différente. Chez la femme les 2 chromosomes sont identiques et on les nomme XX, chez l'homme ils sont différent et on les nomme XY. La 23èmepaire de chromosome est aussi appelée paire de chromosomes sexuels car ils vont déterminer le sexe. Les chromosomes non sexuels sont appelés autosomes et les chromosomes sexuels (X et Y) sont dit gonosome (pour gonades).
Un caryotype peut mettre en évidence les anomalies chromosomiques suivantes:- 3 chromosomes identiques = trisomie- 1 chromosome = monosomie (on dit qu'il y a eu une délétion chromosomique)- modification d'un chromosome qui peut être plus long ou plus court.- chromosome qui peut être circulaireLa maladie chromosomique la plus connue est la trisomie 21 ou syndrome de Down, dans laquelle on trouve 3 chromosomes 21. Elle se caractérise par un faciés particulier ainsi qu'un retard mental plus ou moins sévère. Chez l'Homme on trouve de nombreuses anomalies sur les chromosomes sexuels tels que XXX (trisomie X) femme avec une fertilité réduite, XXY syndrome de Klinefelter homme souvent stérile avec parfois un retard mental, X Syndrome de Turner (monosomie X) femme avec une fertilité réduite, XYY homme avec une fertilité réduite.
Quelques exemples de maladie chromosomiques (défauts visible dans le caryotype). Les images proviennent des données de l'hôpital Cochin à Paris.
Le nombre de chromosomes d'une espèce ne représente pas le niveau d'évolution d'une espèce. Pour exemple voici un tableau du nombre de chromosomes dans différentes espèces.
| Espèce | nombre dechromosomes | Espèce | nombre dechromosomes |
| Homme | 46 | singe | 48 |
| cheval | 64 | âne | 62 |
| chien | 78 | chat | 38 |
| lapin | 44 | zèbre | 64 |
| mouton | 54 | porc | 38 |
| cobaye | 16 | rat | 42 |
| hamster | 44 | souris | 40 |
| poule | 78 | pigeon | 16 |
| colombe | 16 | carpe | 104 |
| escargot | 24 | papillon | 380 |
| lombric | 36 | grenouille | 24 |
| drosophile | 4 | araignée | 22 |
| crocus | 6 | blé | 42 |
| oignon | 16 | pois | 14 |
| pomme de terre | 48 | seigle | 14 |
| tabac | 48 | tomate | 36 |
1.3 L'ADN support de l'information génétique
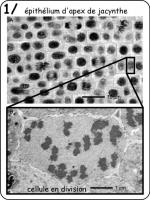
On a appris que l'information génétique était dans le noyau et que dans le noyau il y a des chromosomes et de l'ADN. Donc on se demande quel est le rapport entre l'ADN et les chromosomes. Pour comprendre comment tout celà fonctionne il va falloir plonger dans le noyau des cellules. Nous allons regarder une région à forte division cellulaire l'apex de jacynthe. (télécharger l'activité au format pdf
condensation-adn.pdf)
Sur cette coupe fine obervée au microscope éléctronique on voit parfaitement les différentes cellules qui composent le tissus. En regardant attentivement, on peut constater que de nombreuses cellules ont un noyau bizarre. Les noyaux sont souvent denses comme on a l'habitude de le voir, mais dans certaines cellules il apparait clair avec des points foncé. Dans d'autres cellules on voit des bâtonnets. Dans les cellules contenant les bâtonnets on n'arrive pas à distinguer la limite du noyau.
Sur la partie aggrandie de la cellule, on constate que la limite du noyau n'est plus là. On dirait qu'elle a disparu. On voit des batonnets avec une structure en X relativement typique. Ce sont les chromosomes. On constate que les chromosomes sont situés partout dans la cellule et qu'on ne voit pas de noyau ou une chose qui pourrait le délimiter. Ca confirme ce que nous disions au-dessus le noyau disparaît dans les cellules en division pour laisser la place aux chromosomes.
Quel est donc le rapport entre les chromosomes et le noyau et puis c'est quoi l'ADN du coup?
Nous allons donc plonger plus porfondément dans les cellules grâce à la microscopie électronique qui permet de zoomer énormément. Dans un premier temps nous allons regarder une cellule qui n'est pas en division. On reconnaît bien la structure classique de la cellule, avec de haut en bas, le noyau, le cytoplasme et la membrane plasmique. On constate qu'il est aisé de redessiner le pourtour du noyau. L'aggrandissement d'une partie du noyau fait apparaitre de très fin filament qui mesurent 2.10-9 mètres (2 nanomètres) de diamètre. Ces filaments sont partout dans le noyau.
Lorsque nous regardons les images d'une cellule en division, nous reconnaissons les chromosomes (bâtonnets foncés dans le noyau), le cytoplasme et la membrane plasmique. En regardant de près nous ne distingons pas de noyau. C'est normal, dans une cellule en division la membrane qui entoure le noyau a disparue. Regardons de quoi sont composés les chromosomes. Si on zoome dans les chromosomes (images de droites) on constate qu'il y a de nombreux filaments qui sortent des chromosomes.
Ces filaments ont la même taille et la même structure que ceux que nous avions observé dans le noyau de la cellule. Par conséquent c'est de l'ADN. Les chromosomes sont donc constitués d'ADN, mais alors comment on passe d'un filament de 2.10-9 m de diamètre (l'ADN) à un batonnet en forme de X (le chromosome) d'environ 9.10-7 m de diamètre. L'explication est dans l'empaquetage de l'ADN. Le filament s'enroule plusieurs fois sur lui même pour former un chromosome.
Date de dernière mise à jour : 24/01/2026








